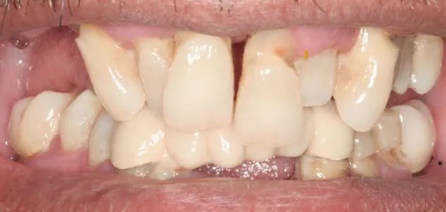
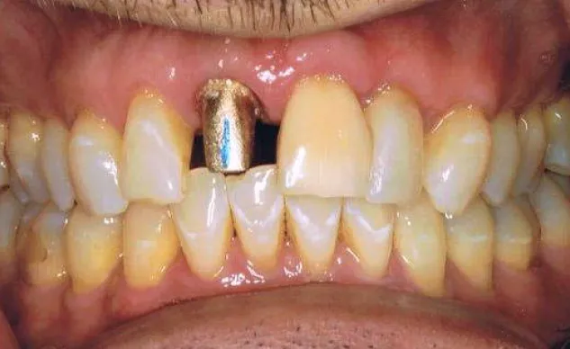
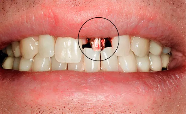
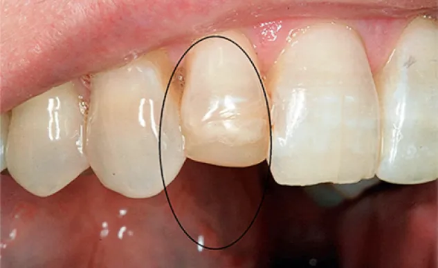
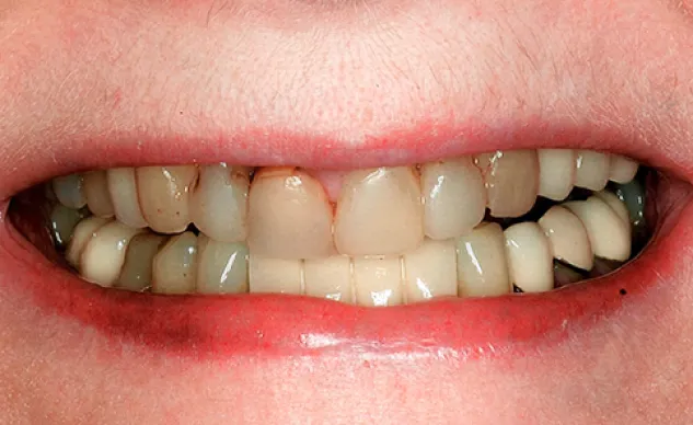
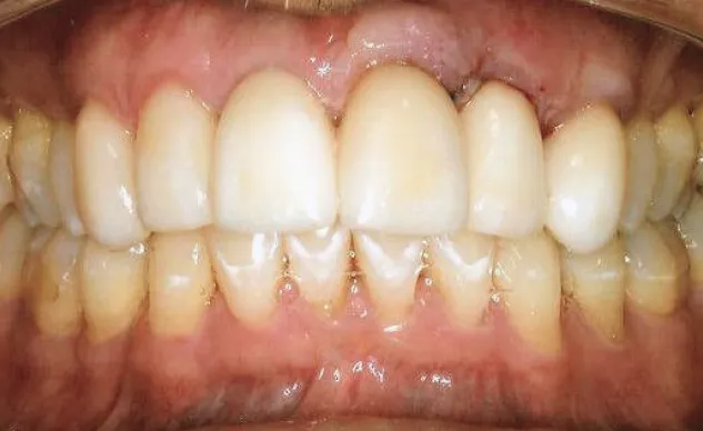
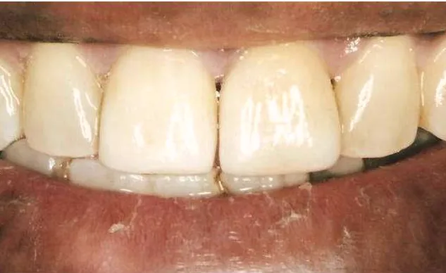
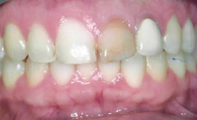
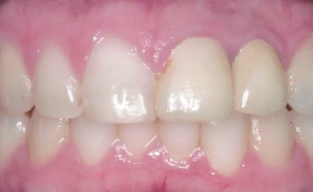
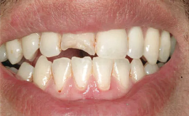
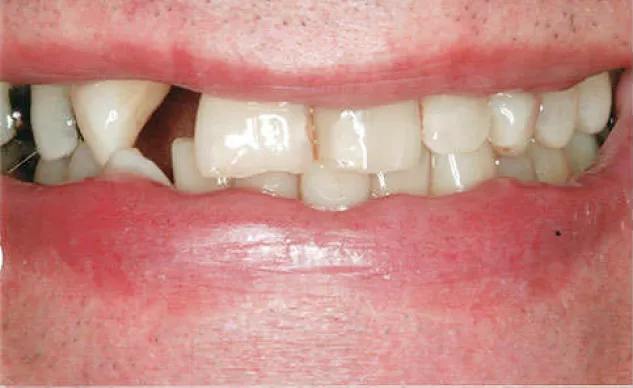
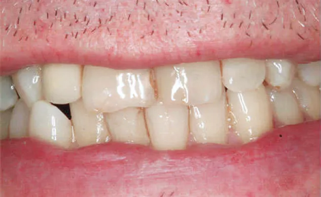
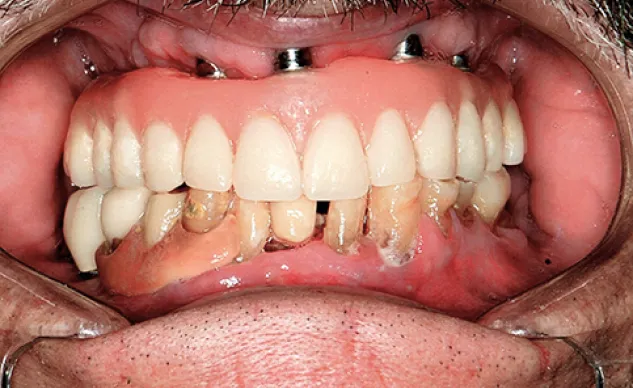
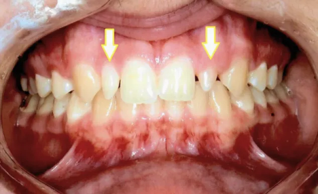
Explore our smile gallery to see the beautiful results Dr. John Savukinas has achieved for his patients! If you have any questions about our dental services or to schedule your one-on-one consultation with our experienced dentist in Rockville, Maryland, please contact our team at 301-738-1155. We look forward to helping you achieve a picture-perfect smile!



































